全て当院治療実績です。
自分と似た悩みはありませんか?
メール相談、お待ちしています。
ホワイトニングをするメリット
歯磨きやクリーニングでは落ちない歯の黄ばみをホワイトニングで白くできます。
笑顔に自信がもてます。
不良なかぶせ物をやり替えるメリット
見た目だけの問題ではなく、ぴったりあったかぶせ物は、歯周病リスクを下げることができます。
歯周病を予防するとガンや心筋梗塞や糖尿病などのリスクも下げられます。
不良なかぶせ物をやり替えるメリット
金属のつめもの・かぶせものを、白くきれいに変更することができます。
白い歯は自然と人に見せたくなります。
不良なかぶせ物をやり替えるメリット
歯の変色や、金属のかぶせものもきれいにできます。
自然と表情も明るくなります。
新しい入れ歯にやり替えるメリット
合っていない入れ歯は、歯ぐきを早く痩せ細くする原因になりますし顎の関節を痛めてしまう原因にもなります。
いくつになっても素敵な口元に。
治療症例
10代男性

治療前

治療後
オールセラミッククラウンで、左の前歯と調和。隙間も改善。
治療したのがバレにくくなったと喜ばれました。
60代女性

治療前

治療後
前歯をオールセラミックで審美回復。
奥歯の咬み合わせをそろえることで、前歯の咬み合わせも改善。
10代女性
インプラントアンカーを使用して、早期の上顎だけの矯正治療で出歯が改善した。
歯並びもかみ合わせも綺麗になって、素敵な大人の女性になりました。
10代女性
早期に矯正治療を開始することで、歯を抜かなくてもきれいに並んだケース。
歯を抜かない矯正の仕上がりに大変満足していただけました。
20代女性


治療前

虫歯多発。虫歯予防対策をしっかり行い、虫歯治療を行いました。


治療後

60代男性
奥歯の目立つ銀歯をきれいな白い歯に治療しました。

治療前

治療後
60代女性


治療前

前歯の見た目を気にしていました。セラミックを使用して治療しました。


治療後

40代男性


治療前

前歯の黒い虫歯と奥歯の歯抜けを気にしていました。
歯根がしっかりしていたので白いかぶせで治療しました。


治療後

30代女性

治療前


治療後
歯の色を白く
表面を一層削って、ハリウッドホワイト色のセラミックスを貼り付けて、白い歯になりました。
笑顔に自信が。
30代男性

治療前

治療後
歯の色が気になる
同じく表面を削って、自然な白色のセラミックスを貼り付けて、白い歯に。
海外とのビジネスでご活躍中です。
30代女性

治療前

治療後
歯の色を白くして、前歯をやり直したい
家で漂白し、白い歯になった状態で前歯を1本やりかえました。
歯も表情も明るくなりました。
50代女性

治療前

治療後
歯並びの悪さが気になり来院
上の前歯6本をオールセラミックのブリッジで審美回復
会話に自信が。
50代女性

治療前

治療後
昔、治療した歯ぐきが下がってきているのが気になり来院
他医院で奥歯を治療し続けた結果、かみ合わせが低くなっている。歯周病も進行している。奥歯のかみ合わせを正常な位置まで高くして、上の前歯6本はオールセラミックで審美機能回復治療。
口元に自信が。
50代男性

治療前

治療後
左上の前歯の色と見た目が気になり来院
前歯2本をオールセラミックで審美回復治療
口元が恥ずかしくなくなりました。
30代女性

治療前

治療後
前歯の色と歯並びが気になり来院
前歯2本をオールセラミックで審美回復治療
一番目立つところが綺麗になると全体も綺麗に。
30代女性

治療前

治療後
前歯2本の歯並びに不満があり来院
前歯2本をオールセラミックで審美回復治療
歯の長さがそろい口元に自信が。
70代女性

治療前

治療後
昔かぶせた前歯が出っぱっているのと歯ぐきの黒ずみを綺麗にしたい
上の前歯5本を下の前歯の色に合わせて審美回復治療
笑顔が自然に
30代女性

治療前

治療後
右上2本の変色が気になり来院
古い左上の前歯2本もやり替え、前歯4本を審美回復治療
バランスのいい口元に。
60代女性

治療前

治療後
かぶせ物のきわが黒くなっているが気になり来院
上の前歯2本と下の前歯3本をオールセラミックで審美回復治療
美しい前歯で笑顔に自信が。
30代男性
前歯が折れた
前歯がむし歯で欠けて細くなり、奥歯がないのを長期間放置していたために、前歯が自然に折れてしまった。奥歯の咬み合せに問題がありますが、その日のうちに救急処置で仮歯を作製。
時間はかかりましたが、これで普通の日常生活に戻れました。
20代男性

治療前

治療後
前歯の見た目
大治療。前歯も奥歯も歯並びがガタガタ。今まで治療でのむし歯治療の再発も多く、仮歯で見た目と咬み合わせの確認を行ったのち、本歯を入れました。前歯の見た目改善を大変満足されていました。
70代男性

治療前

仮歯

治療後
顎が痛い 咬めない
前歯の白い部分が黄色く変色して、なおかつ磨り減ることにより裏側の金属が見えてきている。下の奥歯の入れ歯も磨り減って噛みにくいため、奥歯に力がかからず、顎に負担がかかっている症例。高度で微妙な咬み合わせの治療が必要なため、長期間仮歯と仮入れ歯で調整確認。全体的審美機能回復治療により、改善し痛みなく長期安定。
30代女性

治療前

仮歯
前歯がとれた
奥歯の咬み合せにも安定という意味で問題があったため、仮歯で咬み合わせ治療と前歯の審美回復治療。
20代男性

治療前

仮歯
入れ歯をはずしたい、見た目を綺麗にしたい
左上の入れ歯をインプラントにて審美機能回復
50代女性
治療前

前歯のかぶせが気になる。
治療後

前歯のかぶせ直しと、目立ちやすいところの銀色のつめ物を、白いつめ物にしました。
30代女性
治療前

20年前に治療した、かぶせのきわが黒くなって気になる。
治療後

きれいになって良かったと喜ばれました。
20代男性

治療前

治療後
前歯の変色を気にされて来院
かぶせているのが分からないくらい、きれいになりました
40代女性

治療前

治療後
前歯を綺麗にしたい
欠けて変色した上の前歯にセラミックスをかぶせて審美回復治療
40代女性

治療前

治療後
前歯を綺麗に
変色して長さが短い上の前歯をセラミックススをかぶせて審美機能回復治療
20代女性

治療前

仮歯
むし歯
前歯の黒く目立つむし歯の治療
70代女性

治療前

仮歯
見た目を綺麗に
むし歯と古い詰め物を白いプラスチックを詰めなおして審美治療。
20代女性

治療前

10分後
茶シブが気になる
茶シブを除去
30代男性

治療前

10分後
差し歯が欠けた
前歯の修理
60代女性

治療前

仮歯

治療後
前歯が欠けた
前歯2本のやり直し
20代男性

治療前

治療後
むし歯
むし歯の治療と被せ治し
50代女性

治療前

治療後
前歯が折れた
応急処置として前歯を接着させました
50代女性

治療前

治療後
前歯のむし歯
黒いむし歯を審美回復
80代男性

治療前

治療後
現役医師の方で多忙を極め、ご自身の歯のケアが不十分だったため歯周病が進行し、揺れている歯も多くあった。かみ合わせのバランスが崩れていた。
部分義歯を新調し、咬み合わせ治療を行う。
前歯はブリッジで、奥歯は義歯を使用することで、かみ合わせのバランスをとった。
40代女性

治療前

仮歯

治療後
咬めない 全ての歯がグラグラしている
まず揺れが大きくて保存が困難な歯を抜歯。比較的揺れが少ない歯をつなげて仮歯を作成。一度で一気に中段の仮歯まで早期審美機能回復仮歯治療を行った。その後、揺れている歯の歯周病の治療終了後、かぶせと入れ歯で本歯治療。前歯の見た目も奥歯の咬み合わせも改善され、普通の生活に復帰でき大変喜ばれました。
70代女性

治療前

仮歯

治療後
咬みにくい
咬み合せが斜めにズレている。仮歯にて長期咬み合せ治療。
70代女性

治療前

仮歯

治療後
咬みにくい
右上前歯を矯正治療することなく、仮歯で長期咬み合せ回復治療。
30代男性

治療前

仮歯

治療後
噛みにくい。
上の前歯の歯ぐきのラインがそろっていないので歯の長さも不揃い。歯周外科と咬み合せ治療による前歯の審美
40代男性

治療前

仮歯

治療後
他院で何度も右上前歯がよくとれる
かぶせる隙間がなく、咬み合せに問題があるため、咬み合せ治療により審美機能回復
50代女性

治療前

仮歯
前歯が折れた
奥歯の咬み合わせが無いのを放置していたため、前歯に負担が大きくなり折れてしまっている。咬み合せが、ガタガタ。仮歯で綺麗に歯並びラインをそろえて審美機能回復。
50代女性

治療前

仮歯
咬み合せが良くない
仮歯とインプラントと入れ歯により咬み合せを改善
70代女性

治療前

治療後
かぶせのきわの黒さを気にされて、セラミックのかぶせに変更しました。
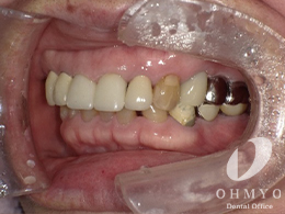
80代男性

治療前

治療後
前歯のかけているところを、レジンで修復しました。着色除去もしてきれいになりました。
70代女性

治療前

治療後
前歯の虫歯の治療をして、オールセラミックのかぶせに変更しました。
40代女性

治療前

治療後
前歯の長さが短いのと、前歯をきれいにしたいとの希望で、はぐきをカットして隣の歯とのバランスを合わせました。両サイドの歯もかぶせなおして、きれいになりました。
70代男性

治療前

治療後
前歯の白いところが部分的にはがれて、きれいに治したいとの希望で、かぶせをやりかえました。
40代女性

治療前

治療後
前歯のつめものの変色を気にされて、かぶせにしてとてもきれいになりました。
30代男性

治療前

治療後
オフィスホワイトニングの施術をしました。
70代女性

治療前

治療後
前歯のオールセラミックのかぶせがかけて来院。隣の歯も一緒に、オールセラミックのかぶせに変更しました。
70代女性


治療前



治療前

前歯2本にヒビが入って抜歯になり、インプラントを入れました。
左上の義歯のところにも、インプラントを入れました。
30代女性

治療前

治療後

治療後
部分矯正で前歯の隙間を閉じました。
60代女性

治療前

治療後
前歯のかぶせのやりかえを希望され、かぶせを新しくしました。
40代女性

治療前

治療後
前歯のつめものの変色を気にされて、つめなおしをしました。